കഴിഞ്ഞ ദിവസങ്ങളെ അപേക്ഷിച്ച് പ്രതിദിന രോഗികളുടെ എണ്ണം ഇന്ന് നാല്പ്പതിനായിരത്തിനും താഴെയെത്തി.
ഡെന്നിസ് ജോസഫ് ആദ്യമായി സംവിധാനം ചെയ്ത മനു അങ്കിള് മികച്ച കുട്ടികളുടെ ചിത്രത്തിനുള്ള ദേശീയ പുരസ്കാരം നേടിയിട്ടുണ്ട്
പിന്നാലെ മന്ത്രിയ്ക്കെതിരെ രൂക്ഷ വിമര്ശനവുമായി വിദഗ്ധര് രംഗത്തെത്തി
ബുധനാഴ്ച അര്ധരാത്രി മുതല് വിലക്ക് പ്രാബല്യത്തിലാകുമെന്ന് യുഎഇ ദേശീയ ദുരന്തനിവാരണ അതോറിറ്റി അറിയിച്ചു
ഇന്ത്യാ ടുഡേയുടെ റിപ്പോര്ട്ട് പ്രകാരം ഗ്രാമങ്ങളില് കോവിഡ് ബാധിച്ച് മരിച്ചവരുടെ മൃതദേഹം യമുനാ നദിയില് ഒഴുക്കുന്നതായി പ്രദേശ വാസികള് പറയുന്നുണ്ട്
ലഭ്യമായ ഡേറ്റകളുടെ അടിസ്ഥാനത്തില് പരിശോധിച്ച, പുതിയ ഗവേഷണഫലം കാണിക്കുന്നത് കോവിഡ് പ്രതിരോധത്തിന് ഐവെര്മെക്ടിന് വളരെയധികം ഫലപ്രദമാണെന്നതില് ഒരു സംശയവുമില്ലെന്നാണ്
എറണാകുളം ജില്ലയില് 50 ശതമാനം ടെസ്റ്റ് പോസിറ്റിവിറ്റി റേറ്റുള്ള 19 പഞ്ചായത്തുകളാണുള്ളത്
കരുതല് ശേഖരമായ 450 ടണ്ണില് ഇനി 86 ടണ് മാത്രമാണ് അവശേഷിക്കുന്നത്
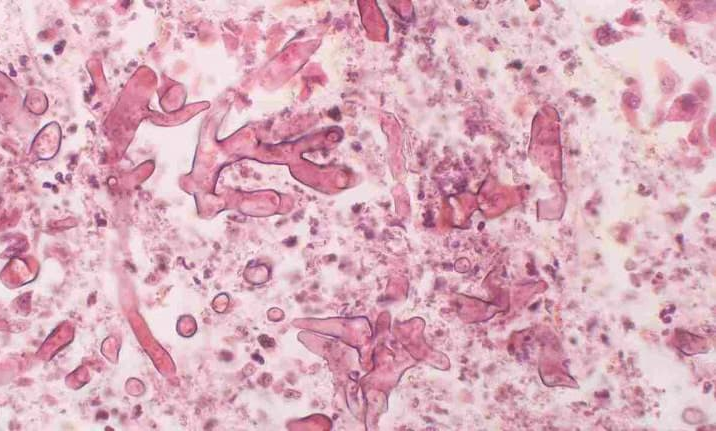
തലയോട്ടിക്കുള്ളിലെ അറകളെയോ ശ്വാസകോശത്തെയോ ഫംഗസ് പ്രതികൂലമായി ബാധിക്കാം
0 കിലോമീറ്റര് വരെ വേഗതയില് വീശയടിച്ചേക്കാവുന്ന കാറ്റിന് സാധ്യതയുള്ളതിനാല് ജാഗ്രത പാലിക്കണമെന്ന് കേന്ദ്ര കാലാവസ്ഥ വകുപ്പ് മുന്നറിയിപ്പ് നല്കി